“医生,快救救我丈夫!他胸痛得快撑不住了!”一阵阵呼救声打破了急诊大厅深夜的宁静。11月12日凌晨,家住河南的卡车司机秦先生(化姓)在运货途经江苏涟水时,突发急性心梗,胸痛剧烈,命悬一线。其妻子紧急拨打120,急救车火速将其送往涟水县人民医院滨河院区急诊科救治,医疗团队争分夺秒,仅用23分钟完成微创手术,成功将患者从死亡线上拉回。
11月12日凌晨3点10分,秦先生被送至该院滨河院区急诊抢救,当值医生蔡博文了解情况后,立即启动胸痛中心救治流程,迅速为其行心电图及心梗三项检查,检查结果提示:急性下壁心梗。时间就是生命,他当即拨通心内科负责人周晓斌的电话请求会诊。
周晓斌接到急救电话已是凌晨3点20分,他迅速联系滨河院区心内科负责人徐雷前来支援,他们俩仅用不到10分钟,便从家奔赴至急诊室,结合患者症状、检查报告及病情危急程度,当机立断:“必须立即手术,开通堵塞血管!”随后,徐雷向患者妻子说明病情及手术必要性,在征得家属同意后,患者被转入导管室。
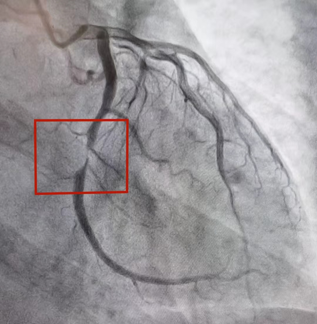
凌晨3点50分,导管室已做好术前准备,周晓斌和徐雷为秦先生行冠状动脉造影术+支架置入术。经多体位冠脉造影检查,发现血管中段次全闭塞,立即于狭窄处植入支架。随着支架植入,血液畅通流动,患者胸痛症状瞬间缓解,全程仅用23分钟便成功开通闭塞血管,这场与死神赛跑的救治任务取得圆满成功。
病情稳定后,秦先生含泪表示:“当时疼得感觉天都要塌了,多亏医生们连夜赶来抢救,把我从鬼门关拉了回来!”其妻子激动地说:“是涟水的医生给了我丈夫二次生命,是涟水拯救了我们一家。千言万语,感激不尽!”
此次深夜极限抢救,凸显涟水县人民医院滨河院区急诊科(胸痛中心)坚守“时间就是生命”的救治理念,医疗团队以快速的响应机制、精准的诊断能力和高效的协作模式,为急性胸痛患者筑起一道坚实的生命防线,也彰显了该院在急危重症救治领域的硬核实力。
左曙东 林舒影




